A review of the radiological imaging modalities of non-traumatic small bowel obstruction
Keywords:
Radiology of bowel obstruction, small intestinal obstruction, enteroclysis, computed tomography
Abstract
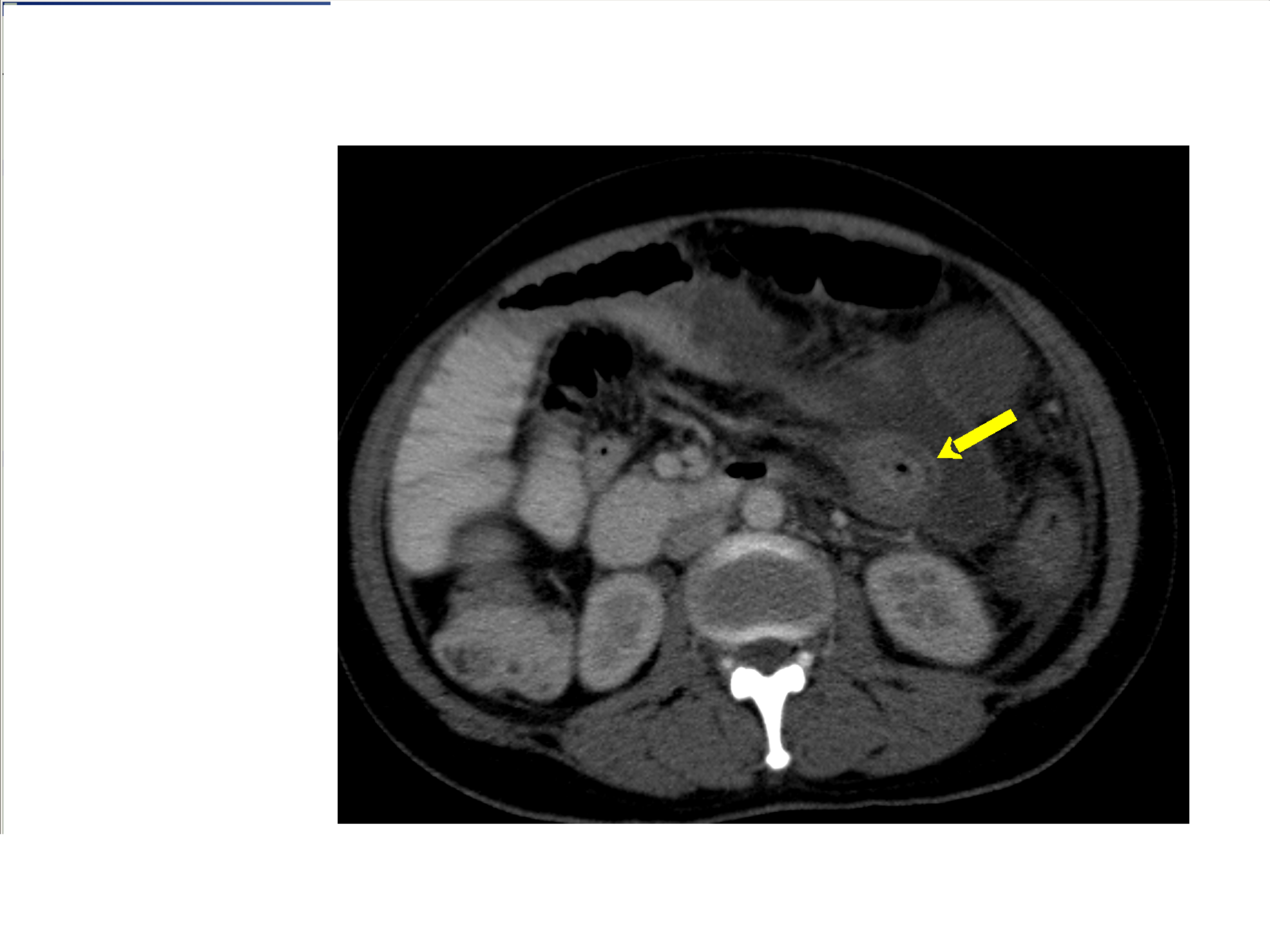
Small bowel obstruction is a common clinical presentation that presents a diagnostic conundrum. Over the last 2 decades, there has been a paradigm shift in the radiological investigation of small bowel obstruction (SBO) and in the indication for and timing of surgical intervention. Cross sectional imaging (predominantly computed tomography) has largely replaced the widespread use of radiographic small bowel follow-through studies as the imaging modality of choice for SBO. This article illustrates the current imaging modalities available for diagnosis of small bowel obstruction. (Full text available online at www.medpharm.tandfonline.com/ojfp) S Afr Fam Pract 2015; DOI: /10.1080/20786190.2014.977052
Published
2015-07-10
Section
Research Articles
By submitting manuscripts to SAFP, authors of original articles are assigning copyright to the South African Academy of Family Physicians. Copyright of review articles are assigned to the Publisher, Medpharm Publications (Pty) Ltd, unless otherwise specified. Authors may use their own work after publication without written permission, provided they acknowledge the original source. Individuals and academic institutions may freely copy and distribute articles published in SAFP for educational and research purposes without obtaining permission.